Sale
  • Western Blot of clone ICO1154C11 anti-human/rat CD34 (0.3µg/ml) with cell lysates of human placenta (A) and uterus (B) (35µg protein). Expected MW 41kD, observed 95-100kD due to PTM. Primary incubation was 1 hour. Detected by chemiluminescence.
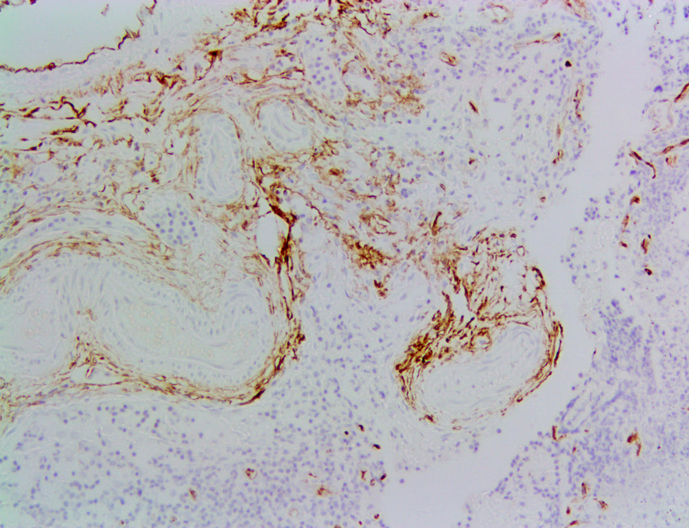
  • Immunohistology staining with IQ708R CD34 [ICO1154C11], Mouse IgG1, Kappa, Recombinant Monoclonal Antibody.    Antibody at 1/100 dilution staining formalin-fixed paraffin embedded human lymph node, showing staining of endothelial cells.   Antigen retrieval was performed using citrate buffer at pH 6 for 20 mins.

Current Image Legend:




CD34 [ICO1154C11], Mouse IgG1, Kappa, Recombinant Monoclonal Antibody

Catalogue Number: IQ708R

Item in Stock Secure Online Payments

If you have any questions or require further information, please contact us and one of our scientists will be in touch.

A free sample may be available. Please click here to request this.

  • £410.00

Datasheet

Primary Description: Anti-CD34 [ICO1154C11], Mouse IgG1, Kappa, Recombinant Monoclonal Antibody
Target Antigen: CD34
Catalogue Number: IQ708R
Quantity: 0.1mg
Concentration: 1mg/ml
Clone: ICO1154C11
Host: Mouse
Isotype: IgG1
Immunogen: The original antibody was generated by immunizing BALB/c mice with blast cells of a chronic myeloid leukemia patient.
Species Reactivity: Rat, Human
Purification: Protein A affinity purified
Format: Recombinant Mouse monoclonal antibody. Purified in phosphate buffered saline containing 0.09% Sodium azide
Applications: WB, IHC(P)
Dilutions: Optimal antibody dilution should be determined by titration, however as a guideline try; WB: 3µg/ml

Protocols

Immunofluorescence protocol - Formaldehyde fixation
  1. Collect cells from T.c.unit and remove media from petri dish using suction.
  2. Wash with 1x PBS and remove.
  3. Incubate cells in pre-warm (37°C) Para-Formaldehyde for 12 minutes at room temperature on an orbital shaker.
  4. Remove PFA and incubate in 0.5% Triton X-IOO in 1x PBS for 5 minutes at room temperature.
  5. Prepare blocking reagent, this is also the antibody diluent.
  6. Wash cells 2x with 1x PBS at room temperature, for 4 minutes/wash on an orbital shaker.
  7. Block with 1 % NCS and 1x PBS for 30 minutes at room temperature.
  8. Prepare primary antibodies (50?l/coverslip) and moist staining chambers.
  9. Wash cells 2x with lx PBS at room temperature and air dry briefly.
  10. Incubate with primary antibody for 1 hr at room temperature in the dark in staining chambers. During this time prepare the secondary antibody.
  11. Wash cells 5x with 1x PBS (5 beaker changes/5 counts in each beaker)
  12. Incubate with secondary antibody for 1 hour at room temperature in the dark in staining chambers.
  13. Wash cells 5x with 1x PBS.
  14. Mount in Dapi.

Solutions (prepare fresh the same day of staining).

  • * 1x Phosphate buffered saline.
  • * Blocking reagent: 1% NCS in 1x PBS (use fresh l0x PBS).
  • * Fixation solution: 3.5% Para formaldehyde.

1.75g PFA in 20 ml d.H20 plus 5 drops 1M NaOH. Stir on a hot plate at 50-60°C until dissolved. Add 4 drops IN HCI and check pH indicator strip. PH should be 7.4. Complete volume with d.H20 to 25ml and add 25ml 2xPBS. Check pH before adding to cover slips.

Immunofluorescence protocol - Methanol/acetone fixation
  1. Collect cells from T.C.unit and remove media from petri dish using suction.
  2. Wash with 1x PBS and remove.
  3. Fix cells with cold methanol: acetone 1: 1 for 10 minutes on ice.
  4. Prepare blocking reagent, this is also the diluent for the antibodies.
  5. Remove fixative and wash cells 3x with Ix PBS at RT, for 4 minutes/wash on orbital shaker.
  6. Block with 1% NCS and Ix PBS for 30 minutes at RT.
  7. Prepare primary antibodies (50?l/coverslip) and moist staining chambers.
  8. Wash cells 2x with 1 x PBS at RT and air dry for approximately 7 minutes.
  9. Incubate with primary antibody for 1 hr at RT in the dark in staining chambers. During this time prepare secondary antibody.
  10. Wash cells 5x with 1x PBS (5 beaker changes/5 counts in each beaker)
  11. Incubate with secondary antibody for 1 hr at R T in the dark in staining chambers.
  12. Wash cells 5x with 1x PBS.
  13. Mount in Dapi.

Solutions (prepare fresh the same day of staining)

  • * 1x Phosphate buffered saline.
  • * Blocking reagent: 1% NCS in 1x PBS (use fresh 10x PBS).
  • * Fixation solution: methanol:acetone 1: 1 ice cold.
Western Blotting Protocol
  1. Transfer gel to PDVF or nitrocellulose membrane
  2. Place membrane in plastic tray in blocking buffer for one hour with agitation
  3. Rinse in wash buffer
  4. Incubate in wash buffer plus primary antibody for one hour
  5. Wash 6 X 5 minutes with wash buffer
  6. Incubate in wash buffer plus secondary antibody for one hour
  7. Wash 6X 5 minutes with wash buffer
  8. Detect (e.g. ECL, Amersham according to manufacturers instructions)
Wash buffer

PBS + 0.1% Tween 20

Blocking buffer

Wash buffer + 5% dried milk powder

The concentration of antibodies used depends on each antibody, the amount of antigen and the detection method used. Generally, dilution is in the range of a few hundred times dilution to a few thousand times dilution, but usually has to be determined empirically.

FAQ's

How do I place an order?

When placing an order we require a purchase order number, plus name and contact details of the purchaser, and the person who will be using the product. We will add VAT for every order received from an EU country, unless you are VAT exempt. For such VAT exempt customers we will need to receive a copy of the exemption certificate with the order.

Orders can be placed either by our website, via email or by mail. Please see our contact us page for more details

All orders are subject to availability. Prices of products do not include shipping, VAT or import duties, where these are applicable. Price and other information provided are subject to change without notice. While every effort is made to keep information provided Up to date, ImmuQuest will not be liable if errors should occur in such information.

Formal acceptance of an order will take place when the goods are dispatched. If prices should be changed between the time of receipt of an order and dispatch, ImmuQuest will contact you in advance.

Ordering via the website

To order via the website you will need to find the product(s) you are looking for by either using our search, browsing our categories or using our full antibody catalogue.

Once you have found the antibodies you are looking for you can view more detailed information about a specific antibody by clicking the product or the 'View' button. Once you are sure it is the antibody you are looking for you can add it to your order by clicking the 'Add To Order' button.

This places the antibody in your order basket, you can add as many antibodies as you wish. Once you have selected all of the antibodies you wish to order then click the checkout button. If you are not logged in you will be asked to login or to register, if you are logged in you will be taken to the checkout page.

On the checkout page you are able to double check your order and enter a purchase order number if you have one.

Once you are happy your order is correct you can purchase the order with debit/credit card details and your order will be submitted. Once we have received and checked your order we will contact you to arrange payment and delivery.

How long does delivery take?

Delivery usually takes no more than one week from reciept of an order.

Do you guarantee your antibodies?

Yes. Should any product not perform as described in the product literature, it will be replaced or a full refund will be given. The customer must notify ImmuQuest within 30 days after the goods have been received to request a replacement, forwarding complete test data as requested by ImmuQuest.

If items are ordered incorrectly by the customer, ImmuQuest will consider taking them back as long as they have been stored correctly and have not been opened or tampered with. Such orders may be subject to a 15% restocking charge on the items plus any shipping costs.

Requests for returns must have prior authorization from ImmuQuest, and must be made within 7 days of receipt of the items. Items must be returned in the same or equivalent packaging as originally dispatched, and by an equivalent method of delivery.

Do you charge VAT?

If you are in the EU and you are no exempt from paying VAT then we must charge VAT (charged at the prevailing UK rate).

Customers that are exempt need to fax an exemption form showing their vat exemption number.

What if I don't have a purchase order number?

You can still place an order without providing a purchase order number but we must recieve payment before your order is despatched.

Non-website orders

Non-website orders can be placed directly with Immuquest at sales@immuquest.com or click on the "contact us" tab for address details

Delivery

Offline Orders

For offline orders please call +44 (0) 1642 713533 or click here to email us.

Delivery & returns

We use federal Express for UK & international shipments, andfor standard shipments the cost is £30 UK & £55 international. If the customer uses their account, we charge a £20 handling fee (UK & international)

We are strongly committed to providing the best quality products, and the best service possible.

Should any product not perform as described in the product literature, it will be replaced or a full refund will be given. The customer must notify ImmuQuest within 30 days after the goods have been received to request a replacement, forwarding complete test data as requested by ImmuQuest.

If items are ordered incorrectly by the customer, ImmuQuest will consider taking them back as long as they have been stored correctly and have not been opened or tampered with. Such orders may be subject to a 15% restocking charge on the items plus any shipping costs.

Requests for returns must have prior authorization from ImmuQuest, and must be made within 7 days of receipt of the items. Items must be returned in the same or equivalent packaging as originally dispatched, and by an equivalent method of delivery.

Product Guarantee

We are strongly committed to providing the best quality products, and the best service possible. In order to do this we depend on your feedback.

Should any product not perform as described in the product literature, it will be replaced or a full refund will be given. The customer must notify ImmuQuest within 30 days after the goods have been received to request a replacement, forwarding complete test data as requested by ImmuQuest.

If items are ordered incorrectly by the customer, ImmuQuest will consider taking them back as long as they have been stored correctly and have not been opened or tampered with. Such orders may be subject to a 15% restocking charge on the items plus any shipping costs.

Requests for returns must have prior authorization from ImmuQuest, and must be made within 7 days of receipt of the items. Items must be returned in the same or equivalent packaging as originally dispatched, and by an equivalent method of delivery.

If you have any questions please contact us using the following details:

ImmuQuest Ltd
Springboard
Stokesley Business Park
24 Ellerbeck Way
Stokesley
TS9 5JZ
UK

Tel: 01642 713533
Fax: 01642 713988
International Tel: +44 1642 713533
International Fax: +44 1642 713988

When placing an order ImmuQuest require a purchase order number, plus name and contact details of the purchaser, and the person who will be using the product. ImmuQuest will also need a VAT number for customers in the European Union.UK customers that are VAT exempt need to fax an exemption certificate.

Orders can be placed either by our website, via email or by mail. Please see our contact us page for more details. All orders are subject to availability. Prices of products do not include shipping, VAT or import duties where these are applicable.

Price and other information provided are subject to change without notice. While every effort is made to keep information provided Up to date, ImmuQuest will not be liable if errors should occur in such information. Formal acceptance of an order will take place when the goods are dispatched. If prices should be changed between the time of receipt of an order and dispatch, ImmuQuest will contact you in advance.